Como minha clínica é especializada em reabilitações estéticas, recebo muitos casos difíceis. Entretanto, esse caso concluído nessa semana exigiu muito cuidado, conhecimento e esmero. O resultado foi impressionante.
Paciente de 46 anos, músico; vocalista de uma banda. Procurou-nos para que resolvêssemos o problema estético dental que o deixava acanhado e com baixa auto estima; chegando a interferir em sua profissão.
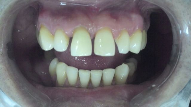
O paciente apresentava séria discrepância ósseo-dental agravada pela má posição dos dentes; o que ocasionava severos diastemas (espaços entre os dentes ).
Além da aparência estética desagradável esses diastemas infantilizam o sorriso. No caso dele eram tão grave que atrapalhava a fonética. Sem falar no aspecto social dissociativo.
Vejam as fotos iniciais
Foto aproximada
Fotos laterais
O tratamento proposto após todas as análises pertinentes foi profilaxia, clareamento dental e por fim facetas com completo ajuste oclusal.
O paciente confiou em nosso diagnóstico e plano de tratamento e prontamente se comprometeu com a terapia proposta.
Essa confiança, total aceitação e comprometimento são fundamentais para o sucesso.
Vejam o resultado
Fotos do sorriso
Foto aproximada
Fotos laterais
Recuperou-se a alegria para o paciente. Elevou-se a auto estima dele refazendo a aceitação de si próprio.
Mais do que reparar um sorriso; trabalhamos o psicológico do paciente, as suas relações profissionais e sociais.
O paciente ficou satisfeito e nós ficamos muito felizes.






















