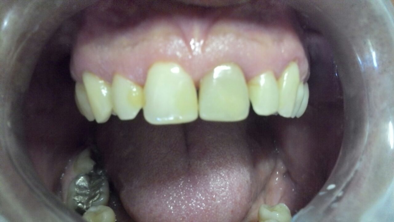
Paciente homem 45 anos. Possuía várias restaurações em resina nos dentes anteriores, já degradadas pelo tempo. Cada uma estava de uma cor diferente.
Além disso o paciente possuía diastemas(espaços) entre os dentes. Os incisivos laterais eram muito pequenos, desproporcionais. As inclinações dos dentes entre si eram incompatíveis e o incisivo central direito estava escurecido por tratamento de canal.
Podemos melhorar.
Realizou-se então raspagem e profilaxia. Depois fez-se o clareamento dentário, o que é fundamental em casos extensos como esse. Ainda para ele que tinha os dentes, cada um de uma cor diferente.
E por fim procedeu-se as facetas em resina composta de canino direito até canino esquerdo.
Veja o resultado
Fotos laterais mostrando a adaptação gengival correta. E corretas inclinações também
Sorriso final
Notem a mudança
Conseguimos um excelente resultado que se traduz em felicidade e satisfação para o nosso paciente. Elevando a auto estima e a confiança.























