Bom dia a todos. Nos últimos dias deixei postado por bastante tempo uma matéria sobre as membranas em fibrina e a fibrina líquida centrifugadas do sangue colhido do paciente, no momento da cirurgia.
Postei essa matéria em maio e resolvi recolocar para que todos lessem.
A técnica da utilização da fibrina do sangue , que é uma exclusividade minha em Santa Rita, auxilia muito nos tratamentos com enxertos.
Os enxertos ósseos e gengivais, muitas vezes são fundamentais para a obtenção do sucesso.
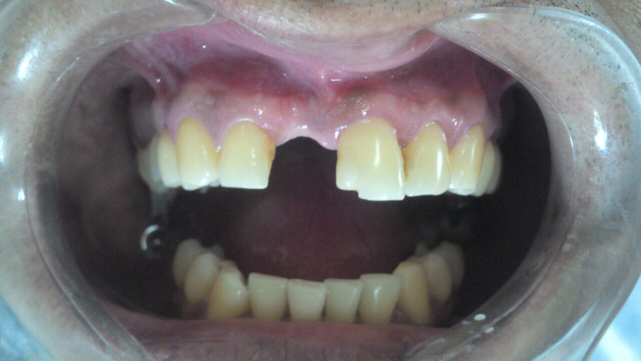
Observem: nesse caso o paciente perdeu o incisivo central superior direito e necessitava de um implante dentário.
Porém, quando se perde um dente, o nosso organismo reabsorve o osso alveolar e ele fica menor em altura e espessura.
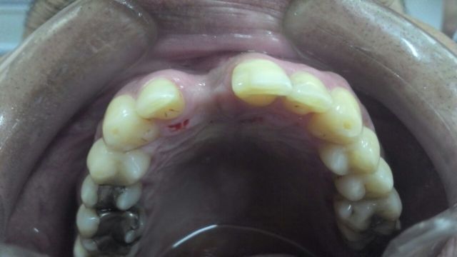
Veja esse mesmo caso com uma vista oclusal.
Percebam como o osso perdeu espessura. Há uma depressão, um grande defeito ósseo na região do dente perdido.
Como colocar um implante nessa situação? Ainda que se possa instalar o implante, a prótese não ficará adequada, esteticamente perfeita. O resultado será péssimo.
Temos que devolver a integridade tecidual perdida. Temos que realizar a cirurgia de enxertia óssea.
Nesse caso utilizamos as membranas em fibrina e a fibrina líquida associadas ao material apropriado para enxerto.
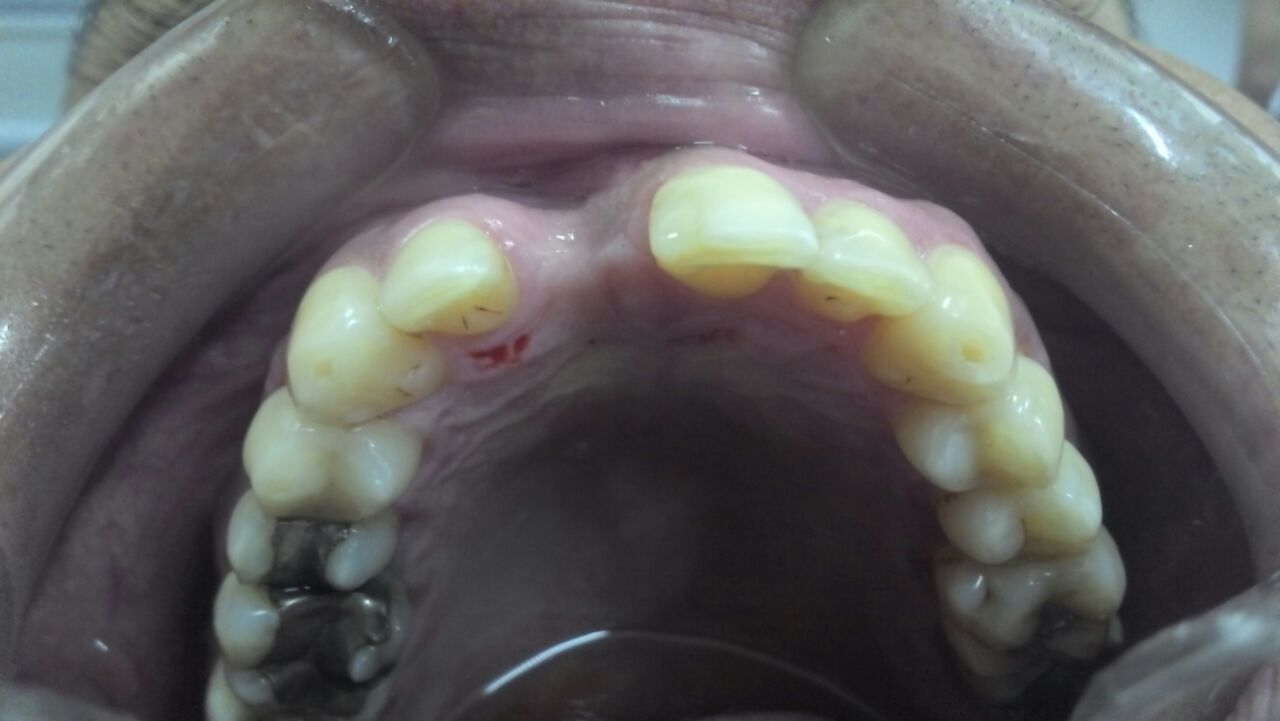
Veja o resultado
Veja como conseguimos recuperar todo o volume perdido, toda a estrutura normal.
Nessa foto podemos ver também o implante já instalado, que nesse caso foi possível realizar simultaneamente ao enxerto.
Nessa vista frontal, percebam a beleza e a naturalidade da gengiva recuperada. Notem toda a estrutura refeita perfeitamente tanto em quantidade como em posicionamento.
A recuperação da condição ideal é fundamental, essencial para o sucesso e os excelentes resultados que obtemos.
A técnica da utilização das membranas em PRF ( que foi utilizada ) é um benefício imenso ao paciente.























