O paciente procurou nossa clínica para restaurar apenas o incisivo quebrado. Veja a foto.
Está mais do que claro que o nosso paciente precisava muito mais que uma restauração em um dente quebrado.
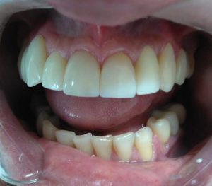
Temos aí, dentes tortos, cariados, retrações gengivais, desvio de linha média, contatos errados, infiltrações nas coroas dos incisivos laterais, restaurações antigas manchadas. Enfim, uma série de problemas para corrigir.
Após explicar e conscientizar o paciente quanto a sua real condição, ele foi bastante compreensivo e bem receptivo ao tratamento correto.
Após todo um trabalho intenso e bem complexo, conseguimos um excelente resultado.
Percebam a mudança:
Realizamos um trabalho estético em 9 dentes: de segundo pré molar direito até o primeiro pré molar esquerdo. Foram 7 lentes de contato diretas em resina e duas coroas cerâmicas nos incisivos laterais.
Vejam o lindo sorriso:
Notem a diferença antes/depois na montagem:
Como a odontologia pode ser transformadora!
Um trabalho correto, bem planejado e executado, dentro de uma odontologia de qualidade e excelência pode trazer além de função mastigatória e fonética corretas, beleza, autoestima e felicidade.
É muito importante entender os anseios do paciente, mas também é importante conscientizar quanto as necessidades e possibilidades dos tratamentos.
A cooperação e aceitação do paciente aliados a uma técnica apurada e profissionais competentes e experientes dão resultados maravilhosos como esse.
Dr. Erasmo Fábio da Mota e Camanducaia – Cirurgião Dentista
Rua João Rennó, 68 3471 2333




























