VALE INDEPENDENTE – O seu jornal digital
COM O POVO ONDE O POVO ESTÁ!!!
Pular para o conteúdo
Início
Eles nos deixaram saudades
Em algum lugar do passado
MEMÓRIAS SANTA RITENSES POR DEVANIL
Memórias de Santa Rita
Olhar de um biólogo
←
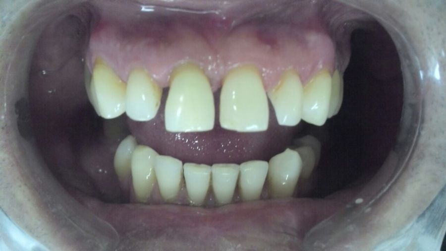
Dr. Erasmo Camanducaia – Impressionante reabilitação com facetas. Caso extremamente complexo.
e5
Por
Giácomo Costanti
|
Publicado
01/11/2016
|
O tamanho real é de
1280 × 721
pixels
e4
e6
Adicionar o
link permanente
aos favoritos.
Deixe uma resposta
Cancelar resposta