VALE INDEPENDENTE – O seu jornal digital
COM O POVO ONDE O POVO ESTÁ!!!
Pular para o conteúdo
Início
Eles nos deixaram saudades
Em algum lugar do passado
MEMÓRIAS SANTA RITENSES POR DEVANIL
Memórias de Santa Rita
Olhar de um biólogo
←
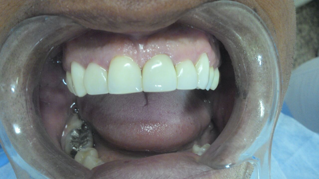
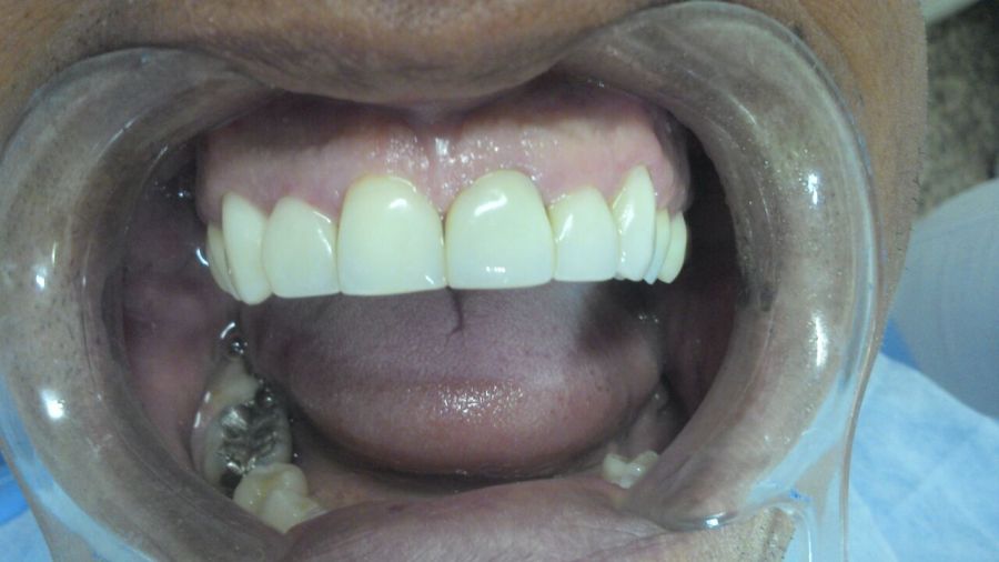
Dr. Erasmo Camanducaia – Mais um caso de reabilitação estética total. Facetas em resina composta.
e3
Por
Giácomo Costanti
|
Publicado
01/09/2016
|
O tamanho real é de
1280 × 721
pixels
e2
e4
Adicionar o
link permanente
aos favoritos.
Deixe uma resposta
Cancelar resposta